

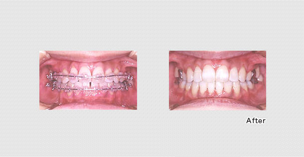
デコボコの歯並びが治ったので『装置をはずして治療を終了してもよろしいですか』とお聞きしたところ、上下の前歯と歯茎の間に三角形の隙間があり『黒く見えてイヤです、どうにかならないですか?』とおっしゃいました。前歯同士はすでに一箇所で接触してしまっているので、このままでは三角形の黒く見える隙間はどうにもなりません。
そこで上下ともに一箇所で接触している前歯同士の間を少し削らせていただき、前歯を動かすことができるような隙間を作りました(プロキシマルリダクション)。削った後に高濃度のフッ素の薬を塗ってありますので、削ったことにより虫歯になって後で困ることはありません。

削って隙間を作ってから2ヵ月後、上下ともに前歯どうしの間に隙間を作ってから改めて、前歯どうしの間の隙間を閉じてきました。上の三角形の黒く見えた隙間が閉じました。右の写真は上下の前歯の間を削って、隙間を作ってから3ヵ月後です。下の三角形の隙間も、かなり閉じました。『これならもう黒ずんだ隙間が無いので気になりません、装置を早くはずしてください』と言うことで治療を終了して、歯の裏側に細いワイヤー(保定装置)をつけて元の歯並びに戻らないように3ヶ月に1回通院して定期検診となりました。